Gum Surgery &
Soft Tissue Care
From gum grafts to laser gum recontouring, Dr. Bublik combines surgical precision with advanced technology to restore the health and appearance of your gum tissue.
Book a ConsultationHealthy gums are the foundation of a healthy smile. Whether you're dealing with recession, an uneven gumline, or want to address a gummy smile, we have a precise, comfortable solution.
Gum Grafts
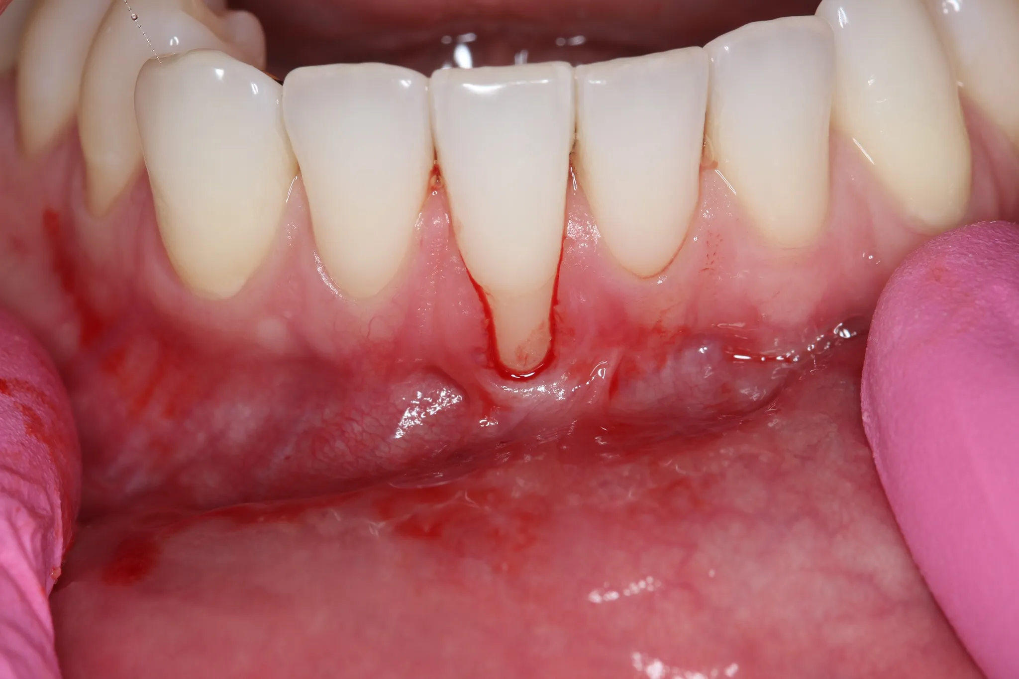
Restore receded gumlines and cover exposed tooth roots — eliminating sensitivity and protecting long-term dental health.
Cosmetic Gum Surgery
Reshape and recontour your gumline using laser technology for a balanced, attractive smile — minimal discomfort, fast healing.
Tongue-Tie Treatment
Laser frenectomy to release restrictive tissue — improving speech, breastfeeding, and sleep quality for patients of all ages.
Gummy Smile Treatment
Laser gum recontouring, Botox, or surgical lift options to reduce excess gum display and create a more proportionate smile.
Dr. Bublik uses soft-tissue lasers, platelet-rich plasma (PRP) for accelerated healing, and CBCT imaging for precise treatment planning. Sedation options are always available for patient comfort.
Book a Consultation