Central Wisconsin’s All-on-X Specialist
All-on-4 & All-on-X
Dental Implants
Wake up tomorrow with a full set of beautiful, permanent teeth. Dr. Jan Bublik has helped hundreds of patients across central Wisconsin say goodbye to dentures forever — in a single day.
A Full Arch of Permanent Teeth — Anchored to Just 4 Implants
All-on-4 (also called All-on-X) is a revolutionary full-arch restoration technique that replaces an entire upper or lower set of teeth using just four strategically placed dental implants as anchors.
Unlike traditional dentures that sit on your gums and can slip, slide, or embarrass you — All-on-X teeth are permanently fixed. You eat steak. You laugh freely. You forget they're even there.
Dr. Bublik is one of the most experienced All-on-X surgeons in Wisconsin, having placed hundreds of full-arch restorations using his proprietary computer-guided technique.
All-on-X vs. Traditional Dentures
Who Is a Good Candidate for All-on-X?
You May Be a Great Candidate If You Have:
- Multiple missing teeth or a full arch of missing teeth
- Failing, severely damaged, or decayed teeth
- Loose, ill-fitting, or uncomfortable dentures
- Bone loss in the jaw (Dr. Bublik can often work with this)
- Embarrassment about your smile
- Difficulty eating or speaking due to missing teeth
- Been told elsewhere you "aren't a candidate"
What Makes Dr. Bublik Different:
- Computer-guided surgery — sub-millimeter precision he invented
- German Argon implants — world-class implant hardware
- Same-day teeth — walk out with a full smile in most cases
- In-house everything — no referrals to multiple offices
- CBCT 3D imaging — complete picture before any procedure
- Previously denied patients — we find solutions others miss
- Financing available — CareCredit and in-house plans
Not sure if you qualify? Get a free evaluation. Dr. Bublik will review your 3D scans and give you a straight answer — no pressure, no obligation.
Schedule Your ConsultationYour All-on-X Process — Step by Step
Schedule Your Consultation & 3D Imaging
Dr. Bublik evaluates your mouth using CBCT 3D imaging technology. You receive a complete treatment plan with all costs upfront — no surprises. This visit is completely free.
Treatment Planning
Using your 3D scans, Dr. Bublik digitally plans every implant position with computer-guided software before a single incision is made. This is the key to predictable, precise results.
Surgery Day — Implants Placed
Under sedation for your comfort, Dr. Bublik places 4 Argon implants using computer-guided precision. Any remaining teeth are extracted at the same appointment. You feel nothing.
Immediate Teeth — Same Day!
In most cases, a beautiful temporary full arch is attached the same day. You leave with a full set of teeth. Friends and family will be amazed.
Final Restoration — Your Permanent Smile
After healing (3–6 months), your permanent custom-crafted final arch is placed. Made by a world-class dental lab, these are your teeth for life. Designed to match your face, your age, your personality.
All-on-X Shouldn't Be Out of Reach
A full All-on-X restoration typically ranges from $20,000–$40,000 per arch — but that's a one-time investment for a lifetime of confident smiling. And with flexible financing, your monthly payment may be lower than you think.
Get Your Free Cost Estimate
Every case is different. The only way to know your exact cost is a book consultation with Dr. Bublik. No pressure — just answers.
Schedule Your Consultation Call 715-391-3080Most patients are approved for financing within minutes
All-on-X FAQ
The surgical procedure itself typically takes 3–5 hours. In most cases, you receive your temporary teeth the same day. The entire process from consultation to final teeth takes 3–6 months as the implants fuse with your jawbone.
The procedure is performed under IV sedation or general anesthesia, so you will feel nothing during surgery. Post-operative discomfort is managed with prescribed pain medication. Most patients are surprised by how manageable the recovery is.
Possibly yes. Dr. Bublik specializes in complex cases. The angled implant placement used in All-on-X often avoids the need for bone grafting entirely. In cases where grafting is needed, Dr. Bublik performs all surgical procedures in-house. Many patients who were told "no" elsewhere become successful All-on-X patients with Dr. Bublik.
The titanium implants themselves are designed to last a lifetime. The final prosthetic arch typically lasts 15–20+ years with proper care. Good oral hygiene and regular check-ups are essential for long-term success.
All-on-4 specifically uses 4 implants to support a full arch. All-on-X is a broader term that can include 4, 5, 6, or more implants depending on your bone density and jaw anatomy. Dr. Bublik determines the optimal number of implants for your specific case during your consultation.
Absolutely. Your final restoration is custom-crafted by a premium dental lab to match your facial features, skin tone, and desired smile aesthetics. Most people who meet All-on-X patients have no idea the teeth aren't natural.
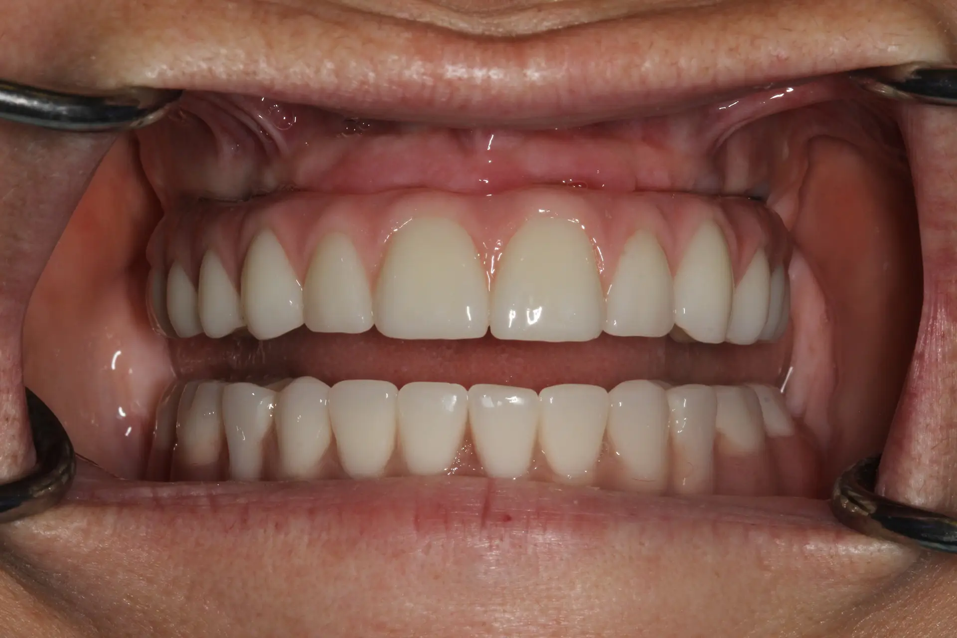
See What's Possible — Wausau, WI
These photos are from an actual full-arch case completed at Bublik Dental. Results shown are the permanent final restoration — fixed teeth that look and feel completely natural.




“I can smile again without being self-conscious. Dr. Bublik gave me back my confidence in one day.”
— All-on-X Patient, Central Wisconsin
Photos shared with patient consent. Individual results may vary.
Patient Story
Hear It From Our Patients
A real All-on-X patient shares their experience at Bublik Dental.
Ready to Change Your Life?
Your book consultation includes a full evaluation, 3D imaging review, and a complete treatment plan with exact costs — no obligation, no pressure. Just answers.
Serving Wausau, Merrill, Stevens Point, Rhinelander, Marshfield and all of Central Wisconsin
2620 Stewart Ave, Suite 218, Wausau, WI 54401