Dental Implants in Amherst, WI | Bublik Dental

Serving Amherst, WI — 30 Minutes to Expert Care

Dental Implants Near Amherst, WI

Amherst residents have a trusted implant specialist just about 30 minutes away. Dr. Jan Bublik has placed thousands of dental implants for patients from Amherst, Kronenwetter, and across Portage County. As a Diplomate of the International Congress of Oral Implantologists and inventor of a proprietary computer-guided surgical technique, he delivers precision results you can count on for life.

Bublik Dental front desk team Wausau WI

Why Amherst Patients Choose Dr. Bublik

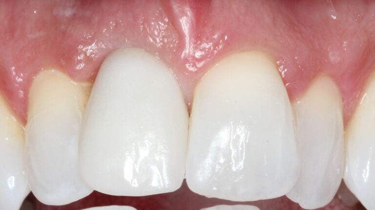
The Gold Standard for Replacing Missing Teeth

Dental implants are, in Dr. Bublik’s own words, “the best option for replacing a missing tooth.” Unlike dentures or bridges, implants replace both the root and the crown — giving you a permanent, natural-feeling solution that protects your jawbone and neighboring teeth.

Dr. Bublik uses German-engineered Argon implants paired with proprietary computer-guided surgery for accuracy other providers can’t match. Amherst-area patients drive just 10 minutes for care most cities don’t offer.

  • Permanent: With proper care, implants last a lifetime
  • Natural-looking: Indistinguishable from real teeth
  • Bone-preserving: Stimulates jawbone and prevents bone loss
  • No adhesives: Fixed in place — eat, speak, smile freely
Bublik Dental team Wausau WI
Bublik Dental staff Wausau WI

Implant Solutions for Every Situation

Single Tooth Implant

Replace one missing tooth with a titanium implant post, abutment, and custom crown. No damage to adjacent teeth.

Ideal for: Single tooth loss from trauma, decay, or extraction

Implant Bridge

Replace 2-3 consecutive missing teeth using just two implants as anchors — no grinding down healthy teeth.

Ideal for: Multiple adjacent missing teeth

Implant-Supported Dentures

Secure your denture to 2-4 implants so it never slips, shifts, or embarrasses you again.

Ideal for: Current denture wearers wanting stability

All-on-4 / All-on-X

A full arch of fixed, beautiful teeth permanently anchored to 4 or more implants. Same-day results possible in selected cases.

Ideal for: Full arch replacement, failing teeth

Computer-Guided Implants

Dr. Bublik’s proprietary guided surgery technique uses CBCT scans and digital planning for sub-millimeter precision.

Ideal for: Complex cases, maximum predictability

Bone Grafting + Implants

Even if you’ve been told you have insufficient bone, Dr. Bublik can prepare your jaw with grafting before implant placement.

Ideal for: Bone loss, previously denied candidates

More Than Implants

Additional Services for Amherst Patients

Dr. Bublik’s Wausau office is a full-scope oral surgery and implantology practice. Amherst-area patients come for much more than implants.

Oral Surgery

Wisdom teeth, extractions, bone grafts, sinus lifts, and complex surgical procedures — all performed in-house by a dual-degree oral surgeon.

Learn more →

TMJ & Orofacial Pain

Jaw pain, clicking, headaches, and facial tension — our TMJ clinic is one of the few dedicated orofacial pain practices in central Wisconsin.

Learn more →

Botox & Facial Aesthetics

Medical-grade Botox, fillers, and PRP treatments administered by a trained oral surgeon — for both cosmetic and therapeutic uses.

Learn more →

Common Questions

Dental Implants Near Amherst, WI — FAQ

How far is Bublik Dental from Amherst, WI?

About about 30 minutes. Our office is at 2620 Stewart Ave, Suite 218, Wausau — easily accessible from Amherst via Highway 51 or Stewart Avenue.

How much do dental implants cost near Amherst?

A single implant typically ranges from $3,500–$5,000 depending on complexity. Dr. Bublik provides a complete cost breakdown at your consultation — no hidden fees.

Does insurance cover dental implants?

Many dental insurance plans now cover a portion of implant costs. Our team will review your coverage and explain all out-of-pocket costs before any treatment begins.

Does Dr. Bublik treat TMJ for Amherst patients?

Yes. Our TMJ & Orofacial Pain Clinic is one of the few dedicated jaw pain practices in central Wisconsin. Amherst patients with jaw pain, migraines, or bite problems are welcome.

Can I get Botox and dental implants at the same practice?

Yes — Dr. Bublik offers medical-grade Botox and facial aesthetics in addition to implants and oral surgery. Many Amherst patients combine visits for efficiency.

Your Implant Journey — Step by Step

1

Book Consultation

Dr. Bublik evaluates your teeth, gums, and bone density using CBCT 3D imaging. You’ll receive a complete treatment plan with all costs upfront — no surprises.

2

Preparation (if needed)

If extractions, bone grafting, or sinus lifts are needed to prepare your jaw, these are completed first. Dr. Bublik handles all surgical procedures in-house.

3

Implant Placement

Using computer-guided surgery and German Argon implants, Dr. Bublik places the titanium posts with precision. Sedation options ensure your complete comfort.

4

Healing & Osseointegration

Over 3-6 months, your implants fuse with the jawbone. A temporary restoration keeps you looking and functioning great throughout healing.

5

Final Restoration — Your New Smile

Your custom-crafted final crown, bridge, or full-arch restoration is placed. Made by the world-class dental lab right here in Wausau, your new teeth are designed to blend perfectly and last for life.

Book Your Amherst-Area Implant Consultation

About 30 minutes from Amherst. Your consultation includes a full evaluation, 3D imaging review, and a complete treatment plan — no obligation, no pressure.

Serving Amherst, Kronenwetter, and all of Central Wisconsin · 2620 Stewart Ave, Suite 218, Wausau, WI 54401